近日,中南大学湘雅三医院心内科心律失常团队在张志辉教授的带领下成功完成了湖南省首例心腔内超声引导下房颤射频消融加左心耳封堵“一站式”手术。
患者尹某某,男性、74岁,因“反复心悸、气促2年”入住到湘雅三医院心内科。入院后,心内科主任蒋卫红带领团队对患者的病情进行了评估。患者为高龄病人,房颤病史多年,脑卒中风险高,且患者既往在服用抗凝药物期间出现了出血的情况,长期服用抗凝药物的出血风险高。张志辉教授认为对于卒中风险、出血风险均较高的患者,房颤射频消融加左心耳封堵“一站式”手术对患者最为合适,但传统“一站式”手术术中须应用食道超声辅助,须在全麻下进行,考虑到患者为高龄病人,心功能较差,全麻手术风险高。经反复谈论,他决定应用心腔内超声代替传统“一站式”手术中的食道超声,从而避免全麻的风险,提高手术安全性。

右一:张志辉教授
术中,张志辉教授带领罗文治主治医师及邓煦主治医师,首先对病人进行房颤的环肺静脉电隔离及左心房基质改良,随后应用心腔内超声,对患者的左心耳形态及直径大小进行了精确测量,结合X线下造影的影像,使用了ACP20mm的左心耳封堵器对患者左心耳进行封堵,封堵器到位顺利,一次性展开成形,再次应用腔内超声对展开后的封堵器进行测量,封堵器完美封堵左心耳开口,且对左心耳附近的结构没有影响,遂释放封堵器。整个手术过程患者均在清醒状态下,术中患者各项生命体征平稳。
装配左心耳封堵器
房颤肺静脉隔离
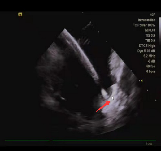
心腔内超声下左心耳封堵器(箭头所指)
X线下左心耳封堵器
心房颤动(简称房颤)是临床最常见的快速性心律失常之一。流行病学的资料显示,我国房颤的总患病率在0.7%左右,且随着人口的老龄化,发病率逐渐增加。临床上对于卒中风险高、出血风险高,高龄的“三高”房颤患者,房颤射频消融加左心耳封堵“一站式”手术对这类患者更为合适。通过该手术,患者既恢复了正常心律,又封堵了血栓主要来源的左心耳,且避免了长期服用抗凝药物带来的高出血风险。张志辉教授团队在该手术中,应用了最新的心腔内超声代替了传统的食道超声,从而避免了全麻手术的风险,提高了手术的安全性,在湖南省尚属首例。近年来,张志辉教授带领的心律失常团队,在心律失常介入治疗方面积极开展新技术,始终走在湖南省的前列,为湖南老百姓提供了更新、更有效、更安全的治疗方案。
[上一篇] 胃肠外科II科成功为87岁高龄腹股沟疝患者在...
[下一篇] 新湘雅尿控高级研讨班第二期顺利开班...
人民网 | 新华网 | 中华人民共和国国家卫生健康委员会 | 中华人民共和国教育部 | 湖南省政府 | 红网 | 湖南省卫生健康委员会 | 湖南省教育厅 | 中南大学 | 湘雅医学院 | 湘雅医院 | 湘雅二医院 | 协和医院 | 华西医院 | 西京医院 | 瑞金医院 | 复旦中山医院 | 武汉同济医院 | 中山医院
医院地址:湖南省长沙市河西岳麓区桐梓坡路138号 中南大学湘雅三医院 版权所有
湘教QS3-200505-000574 备案序号:湘ICP备05001139号 今日访问人数:227583 总访问人数:572352187