近日,中南大学湘雅三医院创伤骨科医护协作运用改良的髂骨瓣移植技术为一名从云南慕名而来的龚女士成功实施了保髋手术。
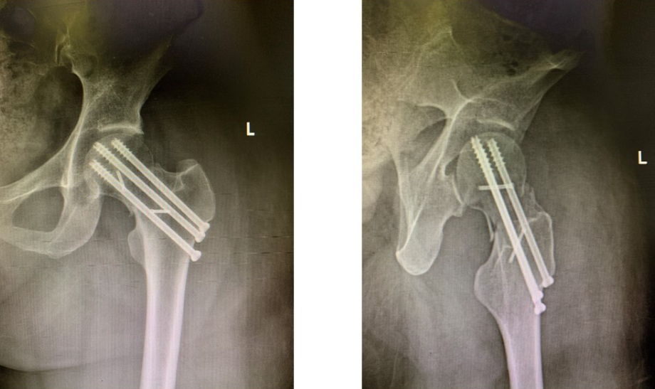
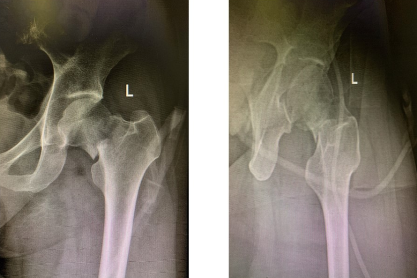
43岁的龚女士现居云南,因外伤导致左股骨颈头下型骨折,且为移位最严重的Garden IV型,股骨头坏死率可能高达40%,当地医院建议她接受髋关节置换手术。尚年轻的她心怀希望四处打听,从朋友那里得知中南大学湘雅三医院骨科可以开展中青年患者保髋手术,便驱车1400多公里,慕名找到中南大学湘雅三医院创伤骨科。接诊后,骨科兼关节外科主任吴松教授、创伤骨科主任罗令教授为远道而来的龚女士进行了会诊,与她进行了深度交流,综合考虑患者年龄、严重股骨头骨折后坏死率高等特点,制定了一期采用创新性旋髂深血管蒂髂骨瓣移植技术来修复股骨颈骨折、预防股骨头坏死的方法。
术后,骨科启动MDT机制,在手术室、麻醉科的密切配合下,由罗令教授带领的团队为患者成功开展了显微镜下创新性旋髂深血管蒂髂骨瓣移植联合股骨颈空心钉内固定术。术后,护士长张文秀带领团队指导患者进行康复锻炼,现已顺利出院。
罗令教授介绍,对于年轻的股骨颈骨折(Pauwells III型,Garden IV型)患者,股骨头预期坏死率高,带旋髂深血管蒂髂骨瓣移植预防股骨头坏死是一种很有效的治疗方法,但经典手术方式存在创伤大、血管已受卡压从而影响髂骨瓣存活等缺点。湘雅三医院创伤骨科对原有术式进行了多项改良,新术式降低了移植血管受压可能性,移植后的髂骨瓣成活率更高,完整地保留了腹股沟结构与功能,还保留了髂骨的外形,供区损伤更小,更符合目前微创、美学的理念。5年来,创伤骨科已成功为20名股骨颈骨折中青年患者开展了保髋手术,股骨头坏死率由40%降低至10%。
[上一篇] 胃肠外科Ⅱ科1月共为“6588斤”肥胖患者手术...
[下一篇] 肝胆胰外Ⅱ科成功救治一例遗传球小儿患者...
人民网 | 新华网 | 中华人民共和国国家卫生健康委员会 | 中华人民共和国教育部 | 湖南省政府 | 红网 | 湖南省卫生健康委员会 | 湖南省教育厅 | 中南大学 | 湘雅医学院 | 湘雅医院 | 湘雅二医院 | 协和医院 | 华西医院 | 西京医院 | 瑞金医院 | 复旦中山医院 | 武汉同济医院 | 中山医院
医院地址:湖南省长沙市河西岳麓区桐梓坡路138号 中南大学湘雅三医院 版权所有
湘教QS3-200505-000574 备案序号:湘ICP备05001139号 今日访问人数:94296 总访问人数:572085613