近日,江华瑶族自治县人民医院胸外科团队在中南大学湘雅三医院胸外科专家冯伟医生的指导与帮扶下,成功为一位71岁的瑶族奶奶实施了“单孔胸腔镜左上肺癌根治术”,术后患者恢复良好,于术后第5天出院。此例手术的顺利实施填补了江华瑶族自治县人民医院在单孔胸腔镜肺癌根治领域的空白,标志着该院胸外科微创技术迈上了一个全新的台阶,是国家级优质医疗资源下沉、助力县域医疗能力提升的生动实践。
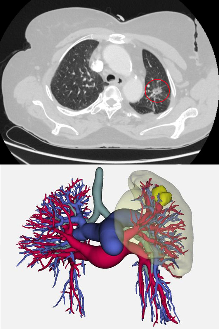
这位年过七旬的奶奶,体检时通过低剂量螺旋CT筛查发现左上肺有一个直径约2 cm的实性结节,考虑恶性肿瘤,手术指征明确。但患者同时合并有冠心病,若采用传统腔镜手术,手术创伤大、术后疼痛剧烈、恢复期长,对于年事已高的患者而言,将是不小的考验,因此,创伤更小的单孔胸腔镜手术无疑是更优选择。
随后,团队在术前根据患者的病情组织了MDT讨论,针对性地制定了手术方案及应急预案,充分做好术前准备。手术当日,在胸外科胡峻源主任、陈张耀和黄民君两位医师及麻醉护士团队的紧密配合下,主刀冯伟医生有条不紊地进行了肺静脉、肺动脉和支气管的离断,迅速进行了系统性淋巴结清扫,最后彻底检查无明显出血漏气后关胸。团队经过近两小时的精心操作,手术圆满成功。患者左侧肋间只有一个3cm长的小切口,真正实现了最大程度的微创。患者术后经过医护团队的精心治疗护理,术后第5天康复出院。
“肺癌之所以可怕,往往是因为发现得太晚”。中南大学湘雅三医院冯伟医生表示:当出现刺激性咳嗽、痰中带血、胸痛等症状时,病情多已进展至中晚期,治疗难度大,预后较差,因此肺癌治疗的关键点在于早诊早治。需要首先明确高危人群,如长期吸烟或吸二手烟者、有职业暴露史(如石棉、铍、铀、氡等接触者)、有家族遗传史,以及患有慢性阻塞性肺疾病等人群,都是肺癌的重点筛查对象。他介绍:低剂量螺旋CT是目前最有效的肺癌早期筛查手段,它可以清晰地发现肺部微小结节,其辐射剂量也远低于常规CT。本次手术的患者正是通过这一技术获益的典型。其次,要正确看待肺结节,体检发现肺结节不等于罹患肺癌,大部分结节是良性的。关键在于由胸外科医生进行甄别和定期随访。对于高度可疑的结节,及时进行微创手术干预,即可达到根治效果,五年生存率可超过90%。
此次,首例单孔胸腔镜肺癌根治术在江华瑶族自治县人民医院的成功实施,充分展现了国家推动优质医疗资源扩容下沉、均衡布局政策的正确性与必要性。通过“传、帮、带”等形式,上级医院的先进技术和管理经验得以有效输送,切实提升了县级医院的“造血”能力。
江华瑶族自治县人民医院胡峻源主任表示,此次手术的成功极大地鼓舞了全院上下的士气,医院将以此为契机,进一步加强与中南大学湘雅三医院等顶尖医院的合作,持续引进和推广新技术、新项目,不断提升综合服务能力,更好地为江华及周边地区人民群众的生命健康保驾护航。
[上一篇] 湘雅三医院多学科协作 成功救治胰腺重伤少...
[下一篇] 徐大宝教授牵头省内外多中心 共同开展创新性...
人民网 | 新华网 | 中华人民共和国国家卫生健康委员会 | 中华人民共和国教育部 | 湖南省政府 | 红网 | 湖南省卫生健康委员会 | 湖南省教育厅 | 中南大学 | 湘雅医学院 | 湘雅医院 | 湘雅二医院 | 协和医院 | 华西医院 | 西京医院 | 瑞金医院 | 复旦中山医院 | 武汉同济医院 | 中山医院
医院地址:湖南省长沙市河西岳麓区桐梓坡路138号 中南大学湘雅三医院 版权所有
湘教QS3-200505-000574 备案序号:湘ICP备05001139号 今日访问人数:225431 总访问人数:449749476