党委信箱 | 院长信箱 | English | 投稿专线

医疗新闻

当前位置:首页 > 医疗新闻

胃肠外科二病区联合多学科攻克疑难 助复杂直肠病变患者重获新生

党总支:第四党总支 科室:胃肠外科二病区 作者:李伟正 汪涛 时间:2025-12-11 点击数:
打印 打印 字号:T| T

12月6日,一名罹患疑难肠道疾病的53岁女性患者,在中南大学湘雅三医院胃肠外科二病区成功接受多学科联合手术后,康复出院。该病例的圆满救治,充分展现了医院多学科协作诊疗(MDT)模式与尖端专科技术应对复杂疾病的强大实力。

11月12日,患者因“大便习惯改变1年”首次就诊于中南大学湘雅三医院消化内科。完善肠镜检查提示,距离肛门约10cm处可见肿块生长,活检结果回报为绒毛管状腺瘤,局灶倾向高级别上皮内瘤变。为进一步明确病变性质并制定针对性治疗方案,患者转入胃肠外科二病区,由朱晒红/朱利勇教授团队接手诊疗。

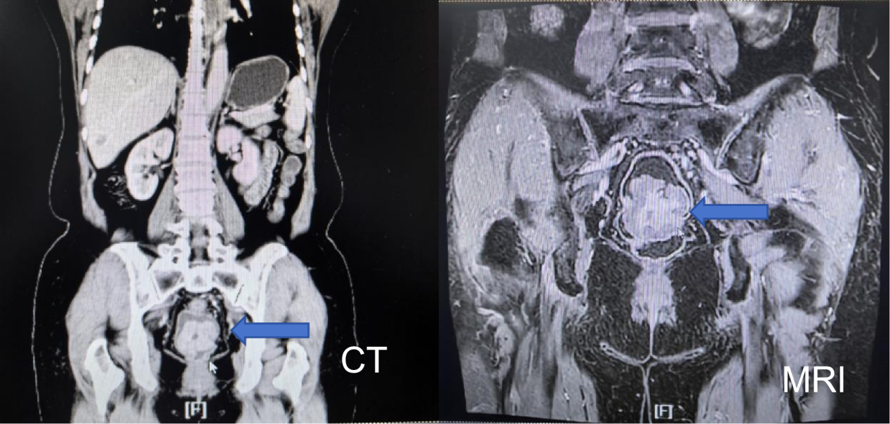
转至胃肠外科二病区后,病区医护立即为患者启动全面术前评估:全腹部增强CT显示直肠局部团块影符合腺瘤改变,同时伴子宫后壁肌瘤伴钙化;MRI检查进一步提示直肠中段肿块,考虑直肠绒毛状管状腺瘤伴癌变T3N1,CRM(+),EMV(+),且合并子宫多发肌瘤。然而,核心的恶性肿瘤诊断却遭遇瓶颈——再次、三次行肠镜下大块、深挖活检后,仍未能明确确诊。诊断的不确定性、直肠病变与子宫肌瘤的合并存在,让诊疗方案的选择陷入两难。

为最大程度保障患者诊疗安全与疗效,胃肠外科二病区第一时间启动多学科协作(MDT)会诊机制,集结肿瘤科、消化内科、妇科、放射科、病理科、麻醉科、临床营养科等多领域专家共同研判。专家团队逐一询问病史、体格检查、审阅患者CT及MRI影像学、超声肠镜、病理报告等资料,结合患者全身状况及家属意愿,进行了全面评估与充分论证。最终达成共识:不选择再进行超声穿刺活检或局部切除送检及新辅助治疗等方案,直接进行手术治疗是当前最适合患者的个体化治疗选择。

方案确定后,手术团队迅速部署。在胃肠外科二病区李鹏洲副教授、李伟正副主任医师与妇科王陆颖副教授领衔的手术团队紧密协作下,按TME原则实施腹腔镜下直肠部分切除术+淋巴清扫术+子宫及双附件切除术。术中不仅完整切除直肠病灶及周围受累淋巴结,并注意对神经的保护,成功维护肛门功能解剖;同时规范处理子宫及双附件病变,手术过程顺利,出血少、创伤小。术后病理检查明确诊断为直肠腺癌(pT2N1bMx),为后续综合治疗及康复提供了明确依据。

得益于多学科团队对病情的详细分析及判断、对治疗方案的个体化选择,手术团队细致的操作保护了肛门功能,以及护理团队全程精细化的围手术期管理,患者术后恢复进展顺利,各项生命体征及实验室指标稳步改善,未出现相关并发症,并于12月6日顺利出院。

中南大学湘雅三医院胃肠外科二病区始终坚守“规范化、同质化、个体化”诊疗理念,在结直肠疾病领域深耕细作。科室不仅率先开展国产手术机器人辅助结直肠手术,常规应用达芬奇进口手术机器人辅助技术于低位直肠保肛等复杂术式,更将多学科协作贯穿诊疗全程。针对合并多种病变、诊断疑难的复杂病例,科室善于整合多学科技术优势,破解诊疗难题,以微创化理念与快速康复外科原则为支撑,为患者提供全周期、高品质的医疗服务,用专业精度与人文温度守护每一位患者的生命健康。

预约挂号:0731-88618576、88618577   急救电话:0731-88618120

医院地址:湖南省长沙市河西岳麓区桐梓坡路138号 中南大学湘雅三医院 版权所有

湘教QS3-200505-000574 备案序号:湘ICP备05001139号 今日访问人数:109877 总访问人数:559550362

技术支持:长沙网站建设-国捷人工智能