2026年2月14日,一名年仅2岁4个月、因重度耶氏肺孢子菌肺炎导致肺纤维化的危重患儿小佩(化名),在中南大学湘雅三医院儿科重症监护病房(PICU)经过60天多学科联合救治后,生命体征趋于平稳,顺利出院。
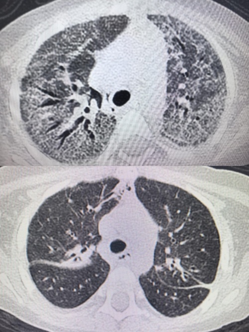
2025年12月10日,小佩因发热2天、气促半天被收治入院。该患儿一年前确诊急性淋巴细胞白血病,此次在维持化疗阶段发生肺部耶氏肺孢子菌感染,病情迅速进展为重度急性呼吸窘迫综合征并继发呼吸衰竭,后进一步发展为肺纤维化。入院时,小佩表现为呼吸急促、精神萎靡、尿量减少及经皮血氧饱和度持续下降,生命体征不稳。
PICU团队接诊后立即启动应急救治流程。在给予呼吸支持、抗感染治疗及纤维支气管镜检查与肺泡灌洗后,患儿氧合状态一度维持稳定。12月11日凌晨,其血氧饱和度再次下降,无创呼吸机辅助通气难以维持,医护团队果断行气管插管,转为有创呼吸机辅助通气。由于呼吸机参数持续处于高位,科室随即组织多学科专家会诊,制定并实施“个体化综合救治方案”,涵盖呼吸功能支持、肺康复治疗、抗感染管理、营养干预及皮肤与口腔护理等多个方面。针对肺部感染及纤维化,救治团队先后实施五次纤维支气管镜下肺泡灌洗术及其他最新治疗措施,并根据病情动态调整抗感染方案。在60天救治过程中,小佩的呼吸支持方式经历了从无创通气、气管插管、气管切开,最终降至鼻导管吸氧的逐步过渡,肺功能逐步恢复。
在临床救治的同时,医护团队关注患儿心理需求,轮班陪伴安抚,通过播放音乐、动画片等方式缓解其恐惧情绪。待病情稳定后,团队引导家属参与护理,以亲情陪伴支持患儿康复。

该病例的成功救治体现了湘雅三医院PICU在儿童危重症综合救治领域的专业技术与多学科协作能力,也为耶氏肺孢子菌感染后继发肺纤维化的临床处理积累了经验。
[上一篇] 湘雅三医院妇科成功救治攸县转诊脓毒血症合...
[下一篇] 【最美医瞬间】内分泌科春节坚守,助力全院...
人民网 | 新华网 | 中华人民共和国国家卫生健康委员会 | 中华人民共和国教育部 | 湖南省政府 | 红网 | 湖南省卫生健康委员会 | 湖南省教育厅 | 中南大学 | 湘雅医学院 | 湘雅医院 | 湘雅二医院 | 协和医院 | 华西医院 | 西京医院 | 瑞金医院 | 复旦中山医院 | 武汉同济医院 | 中山医院
医院地址:湖南省长沙市河西岳麓区桐梓坡路138号 中南大学湘雅三医院 版权所有
湘教QS3-200505-000574 备案序号:湘ICP备05001139号 今日访问人数:245405 总访问人数:557374954